진료시간 및 예약각 분야 전문의들이 모인
우리들병원 의료진
이용안내환자 중심의 의료서비스를
제공하는 우리들병원
숙련된 노하우를 가진 의료진의 문진 및 진단 장비로 정밀검사를 통해 정확하게 진단 받으실 수 있습니다.

신경외과적으로 허리 통증은
염좌(Sprain), 디스크(Disc Bulging/Herniation), 추간공디스크(Foraminal Disc Herniation), 퇴행성추간판질환(Degenerative Disc Disease), 협착증(Spinal Stenosis), 척추전방전위증(Spondylolisthesis), 척추분리증(Spondylolysis), 골절(Fracture), 후관절낭종(Facet Cyst), 종양(Tumor), 측만증(Scoliosis) 등과 같은 다양한 질환들에 의해 발생할 수 있습니다.

척추의 만곡이 40° 이상이거나 변형이 심해 일상생활이 어려울 경우, 외관상 보기 흉할 경우 척추가 더 휘는 것을 방지하고 균형 잡힌 척추를 만들어 주기 위한 수술입니다.


심하게 휘어져 있는 척추를 바로 세울 수 있는 고난이도 수술법으로 외과/흉부외과 전문의와의 협업을 통해 적은 출혈 및 단계적인 수술로 안전하게 수술할 수 있습니다.
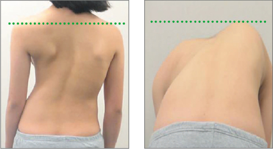
척추측만증이란
뒤에서 볼 때 척추가 ‘S’ 또는 ‘C’자로 휘어진 상태입니다.
얼마나 많나요
인구의 2~3%에서 관찰됩니다.
척추측만증의 자가진단
진단 기준
Cobb 각 10º 이상을 측만증으로 진단합니다.




이 수술의 장점은 무엇인가요?
수술을 통해 125°로 휘어진 척추를 70°로 교정 대체요법을 시술하다 측만증이 더 진행된 16세 여성의 증례
A
아닙니다. 무거운 가방, 나쁜 자세가 척추측만증의 원인으로 확인되지는 않았습니다.
다만 올바른 자세는 전반적인 척추 건강에 도움이 됩니다.
A
대부분은 원인을 정확히 알기 어려워 확실한 예방법이 없습니다.
그래서 조기 발견을 위한 정기 관찰이 중요합니다.
A
운동만으로 측만이 교정되거나 진행을 막기는 어렵습니다.
다만 근력·유연성 유지에는 도움이 될 수 있어 치료와 병행합니다.
A
어깨 높이 차이만으로 확정되진 않습니다.
전신 척추 X-ray로 Cobb 각을 측정해 10º 이상이면 측만증으로 진단합니다.
A
대개 25º~40º(성장기)에서 보조기를 시행합니다.
효과를 위해 하루 20시간 이상 착용이 권장됩니다.
A
목표는 “보조기를 착용한 상태에서 펴는 것”이 아니라,
보조기를 풀었을 때도 각도를 유지(진행 억제)하는 것입니다.